Shot and Left to Suffer
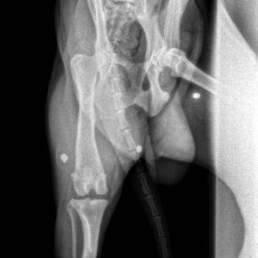
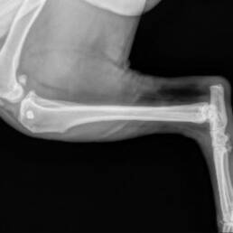
Rocky’s X‑rays told the truth before he could: three buckshot pellets lodged in his hips and hindquarters — and the vet warned there may be more hidden deeper in his body. Someone had shot him, then left him to suffer.
When his owner was arrested, Rocky was taken by Animal Control to a crowded Los Angeles shelter. There, he quickly became “urgent,” at risk of euthanasia through no fault of his own. That’s when the Jason Heigl Foundation stepped in to save him.
Soon after rescue, Rocky began limping badly on his right hind leg. The veterinary team discovered a torn ACL (Anterior Cruciate Ligament) and mild hip dysplasia on top of the buckshot wounds. During surgery, his torn ligament was repaired, the visible pellets were removed, and he was also neutered to prepare him for a brighter future.
His recovery will be long, but Rocky will be well looked after by the Foundation’s dedicated medical team every step of the way. And when he is strong enough, he will be listed for adoption — ready to find the loving home he has always deserved.
Through it all, Rocky has remained gentle and sweet — adored by the veterinary staff and everyone who meets him. His spirit shows us why we never give up on the forgotten: because every life is worth saving, no matter how broken the world tried to leave them.
Related Posts
Toro: Abandoned, Not Broken
Toro was found tied to a pole, a t-shirt stretched over raw wounds. Returned to the shelter, he was scheduled to be…
Surrendered for a Baby, Saved from Certain Death
Zena was surrendered to a crowded shelter where she faced death, simply because her owners had a baby.
Rocky the Husky Saved With Just Four Hours to Spare
On September 13 — unlucky for some, but not for Rocky — he was rescued from being euthanized with just four hours to…






